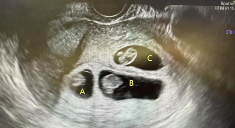
張至婷發文表示,「排卵藥吃出DoReMi,我都要哭了」,她也在留言區補充解釋,自己是這個個案的生殖科醫師,不過個案真的很年輕、也非常幸運,僅僅吃了五天排卵藥,沒有打任何促排針,就長出3顆卵泡、3顆都中獎。
她表示「看到新的小生命,大家都會忍不住開心、充滿期待,我也會把這份祝福轉送給這對爸媽」,不過身為婦產科醫師,她還是要提醒,雖然一次「進度超前」很令人驚喜,但多胞胎懷孕對媽媽的身體仍是很大的負擔,因此她還是鼓勵一次一個,「健康平安,就是最好的安排」。

啦啦隊女神愛上60歲Uber司機 「戀愛腦」送房子跳票也無所謂